2016 agosto

Archivos mensuales: agosto 2016

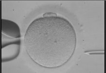
Reproducción asistida.

No me quedo embarazada

Una pareja busca el tan deseado embarazo pero no lo logra. ¿Cuándo debe consultar? ¿Es una cuestión de tiempo o se debe tener en...